Mosolyalbum
Íme egy kis betekintés az eseteinkbe, melyek jól mutatják, milyen változás érhető el egy mosolyban, amikor a tervezés, a szakértelem és a részletekre való odafigyelés találkozik. Természetesen a munkáinkra garanciát vállalunk, de fontos, hogy ez egy közös út, melyen együtt megyünk végig, és mindkettőnk elkötelezettsége kell ahhoz, hogy az eredmény valóban gyönyörű legyen.
Sikertöténetek
Összegyűjtöttem pár előtte-utána eset képet, hogy lásd, mely készülékkel milyen eredményt tudunk elérni. Fontos látni, hogy minden eset egyedi, a páciens igényei, anyagi kerete és egyedi élethelyzete összefüggésében választjuk ki azt a kezelést, amivel a leghatékonyabban, a legszebb eredményt tudjuk elérni.
Munkáink
Pácienseink esetei


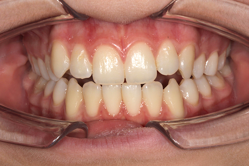
Előtte
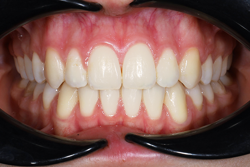
Útána


Előtte
Útána


Előtte
Útána


Előtte
Útána


Előtte
Útána
A legfontosabb
Pácienseink véleménye
Zsombor
Szavakba önteni is alig tudom mekkora köszönettel tartozom Zsoltnak és mekkora öröm van bennem. Zsolt nem „csak” egy új mosolyt, hanem egy új, önbizalommal teli életet adott. Rendkívül magas szintű kezelést és odafigyelést kaptam, amiért örökké hálás leszek. Én is azt tanácsolom, hogy vágj bele, mert garantáltan megváltoztatja az életed! Viszont, ha már megérett benned ez a fontos elhatározás, kérdés nélkül Zalai doktort válaszd!
Kinga
Komplex problémával érkeztem, mégis sikerült kihozni a maximumot a mosolyomból. Kiváló orvos és csapat, bárkinek szívesen ajánlanám őket.
Niki
A fogaim miatt nem mertem mosolyogni, és önfeledten nevetni, mindig a kezemmel takartam a számat.
Amit Zsoltéknál tapasztalok mai napig, az szinte leírhatatlan és megfogalmazhatatlan. Igényes környezet, kedves orvosok és asszisztensek, a munkájukba 100%-ot beleadnak, látszik és érződik, hogy azért vannak, hogy segítsenek megváltoztatni az életem, és önbizalmat szerezni.
És a végeredmény? Belenéztem a tükörbe és kibuggyantak az örömkönnyek, olyan gyönyörű lett a végeredmény. Végre merek mosolyogni. Mindig hálás leszek. Életem egyik legjobb döntése volt odamenni, 100%-osan megéri az árat!
Amit Zsoltéknál tapasztalok mai napig, az szinte leírhatatlan és megfogalmazhatatlan. Igényes környezet, kedves orvosok és asszisztensek, a munkájukba 100%-ot beleadnak, látszik és érződik, hogy azért vannak, hogy segítsenek megváltoztatni az életem, és önbizalmat szerezni.
És a végeredmény? Belenéztem a tükörbe és kibuggyantak az örömkönnyek, olyan gyönyörű lett a végeredmény. Végre merek mosolyogni. Mindig hálás leszek. Életem egyik legjobb döntése volt odamenni, 100%-osan megéri az árat!
Irén
Dr. Zalai Zsolt és asszisztense, Monostori Adrienn olyan szakmai hozzáértéssel és emberi melegséggel vezettek végig a fogszabályzós időszakon, amelynek alapján mindenki számára nyugodt szívvel ajánlom őket. Itt a páciens partner, minden kérdésére megnyugtató választ kap. Mindvégig maximálisan megbíztam bennük, és soha nem volt kellemetlen élményem.
Majdnem 50 éves fejjel kezdtem bele azért, hogy idősebb koromban is saját, egészséges fogaim legyenek. A tökéletesen szabályos fogsorom maga a csoda, soha nem gondoltam volna, hogy nekem is lehet ilyen! Hálásan köszönöm a SecretSmile csapatának. 🙂
Majdnem 50 éves fejjel kezdtem bele azért, hogy idősebb koromban is saját, egészséges fogaim legyenek. A tökéletesen szabályos fogsorom maga a csoda, soha nem gondoltam volna, hogy nekem is lehet ilyen! Hálásan köszönöm a SecretSmile csapatának. 🙂
Eszter
Abszolút profi és kedves csapat. Minden az előre megbeszéltek szerint zajlott, menet közben minden kérdésünkre türelmesen válaszoltak, és az összes találkozó jó hangulatban zajlott. Csakis ajánlani tudom. 5 csillagból legalább 6. 🙂
Bea
Egy barátnőm ajánlotta Dr Zalai Zsoltot. Az én helyzetem elég komplikáltan indult, de ettől függetlenül a Doktor úr nagyon jó szakember, flexibilis es kedves volt a kezdetek óta. Csak ajánlani tudom.
Tünde, Imola anyukája
Egy szakmabéli Nógrádi Zsuzsi (Innovadent fogtechnika) ajánlásával kerültünk Zalai doktorhoz, ekkor még kb. 10 éves volt Imola. Mindig kedves, segítőkész volt doktor úr, illetve az asszisztensnő, Adri. A végeredmény fantasztikus lett, sok ismerősnek ajánlottam a rendelőt. Végtelen hálával és köszönettel tartozom. Csodaszép lett a közben nagylánnyá cseperedett gyermekem mosolya. KÖSZÖNÖM.
Apollónia
Profi és pontos. Nekem nagyon fontos volt, hogy ne kelljen órákig várnom a rendelőben. Az időpontokat minden alkalommal pontosan tartották, kedvesen, segítőkészen, bátorítóan állnak a páciensekhez. Az egyik legjobb döntésem volt, hogy felnőttként belevágtam Zalai doktor segítségével a fogszabályozásba.












